Get Your Fixed Smile with Allon4 Dental Implants Mexico.
Regain your smile and confidence at a fraction of U.S. Prices!
Missing teeth shouldn’t hold you back. Our experienced dentists in Tijuana specialize in All-on-4 dental implants, offering a fast, comfortable, and affordable path to a beautiful, lasting smile.
Top Concerns People Face with Missing Teeth
Check the box if this resonates with you:

With our personalized treatment strategy tailored only for you, all this concerns will be a thing of the past
How many teeth do you get with all on 4 implants?
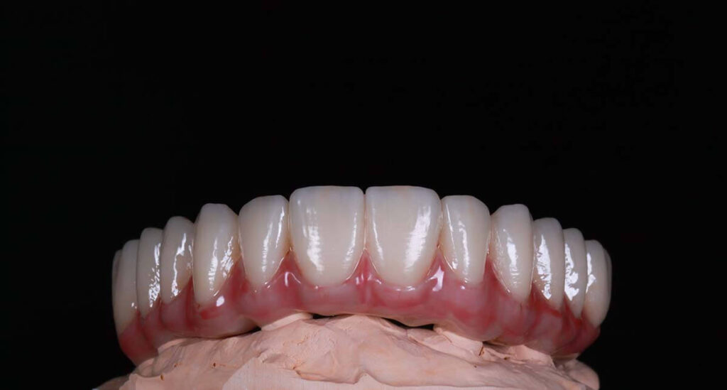
Have you stopped smiling due to missing teeth? It can affect your confidence. All-on-4 is a specialized dental implant technique in Tijuana that offers a life-changing solution. Unlike traditional dentures, these permanent implants won’t loosen or fall out.
With just four implants per arch, surgery and recovery are faster than traditional implants. Regain your confidence and smile freely again!
High Stability in the Maxilla:
Achieve high stability in the soft
maxillary bone using implants.
Increase the Life of the Implants:
Tilted posterior implants allow for the usage of longer implants, increasing bone-to-implant contact.
Proven Long-Term Fixed Solution: High survival rates with up
to 10 years of follow-up in the mandible and 8 years in the maxilla. Ultra esthethic hybrid denture.
Inmediate Denture for High Patient Satisfaction:
Inmediately loaded provisional prosthesis after of surgery . Shorter tratment times and reduced costs compared with conventional rehabilitations.
Preserve the Appearance of your Face:
Fixed dentures preserve the appearance of your face and maintain the aesthetic of your natural bone structure. They also help prevent bone loss due to a lack of healthy teeth.
Why Choose Tijuana Dental Center for All-on-4 Implants?
Save Thousands: Get premium-quality implants for up to 70% less than U.S. Prices.
Expert Team: U.S.-trained implant specialists with years of local experience.
Personalized Care: Every treatment plan is tailored to your needs and goals.
Transparent Pricing: No hidden fees, know your full cost upfront.
Convenient Location: Easy cross-border access just minutes from San Diego.
The Best Place To Get All On 4
Our clinic uses NeoDent by Straumann implants, ensuring your All on 4 dental implants in Mexico last for decades.
Real Stories, Real Results
See transformations from patients just like you!
How All-on-4 Can Change Your Life
After completing his All-on-4 dental implant treatment, our patient proudly takes the ultimate test, biting into an apple with confidence. This simple yet powerful moment showcases the strength and stability of his new fixed prosthesis, as well as the success of proper osseointegration.
The implants have fully fused with the bone, providing a solid foundation that feels just like natural teeth. It’s more than just a bit, it’s the return of comfort, function, and confidence.
If so, our All-on-4 solution can restore your smile, bite, and confidence in just 2 visits.
How Does All-on-4 Work?
Permanent, Natural-Looking Teeth: Get a full arch of teeth with only four implants per jaw.
Quick Recovery: Most patients return to normal activities within days.
High Stability & Comfort: No slipping or discomfort, unlike traditional dentures.
Protects Your Facial Structure: Prevents bone loss and keeps your face looking youthful.
Immediate Results: Walk out with your new smile the same day!
How Much Do All on 4 Dental Implants in Mexico Really Cost (Including Travel & Accommodation)?
Our All-on-4 Dental Implants Mexico package includes all necessary components, from diagnostics to the final restoration. This cost-effective procedure is why patients choose dental work in Tijuana for life-changing results. Check Fair Health Consumer for real-time U.S. dental costs by state.”
For example, a patient traveling from Las Vegas, round-trip airfare to San Diego averages $150–$250, and quality hotels in Tijuana cost about $80–$100 per night. With free transportation from San Diego Airport or the San Ysidro border included, even when factoring in travel and lodging, patients save 50–70% compared to U.S. prices while receiving world-class care.
All on 4 – Fixed Solution
$6,999 USD
Good Aesthetics
Mild Resistance
All on 4 – Fixed Hybrid Solution
$8,500 USD
Improved Comfort
Excellent Resistance
All on 4 – Fixed Zirconia
$10,500 USD
Excellent Aesthetics
Excellent Resistance
All on X Dental Implants
All on 4 Premium
For this all on 4 option, just take your flight, and we cover all your needs.
How do people afford All-on-4 dental work?
We offer competitive pricing and flexible payment options, including: Pay as You Go plan, Sponsor Club program, and Financing Options. Whether or not you have dental insurance, we’re committed to making top-quality dental treatments accessible to all. By choosing a dentist in Tijuana, you can save significantly without compromising on quality.
NOT CONVINCED? SEE OUR CASES - Before and after all on 4 dental implants in Mexico
Our patients who have received All-on-4 dental implants in Mexico often share their life-changing experiences. See real results from our patients. Visit our Smile Gallery and Patient Reviews to see amazing results.
Your Journey to Confidence with All on 4 Implants in Mexico
What to Expect at Our Tijuana, Mexico, Dental Office
Surgical Phase:
The process starts with a consultation at our dental clinic in Tijuana to assess your current dental health and determine if Mexico all On 4 implants are right for you:
Consultation & Evaluation –
Assessing your dental health and discussing the best treatment plan.
Advanced Imaging –
X-rays and 3D scans for precise treatment planning.
Anesthesia & Comfort –
Local anesthesia or sedation for a pain-free experience.
Extractions (If Needed) and Implants Placement –
Removing damaged teeth to prepare for implants later four implants are strategically positioned in the jawbone for maximum stability.
Your jawbone needs 4-5 months to heal and fuse with the implants before attaching permanent teeth. During this time, follow a special diet and avoid pressure on the implants.
Restoration Phase:
3-4 months later of your surgery once your jawbone has fully healed, you’ll visit your dentists in Tijuana to have your final permanent replacement teeth securely placed.
Impressions & Models –
3D scan and impressions were taken for the final design of your smile.
Personalized Prototype –
We will test a final prototype to evaluate the height, thickness, and color of your future teeth, ensuring a perfect match with your personality and gum tone. smile.
Permanent Teeth –
A custom-designed final prosthesis is securely attached once healing is complete.
Ongoing Care –
Regular check-ups to ensure implant stability and long-term success.
Once everything fits perfectly and you’re satisfied with the final result, our dentists in Tijuana will complete your dental work , allowing you to leave with a brand-new, confident smile!
Are you ready to be a part of the smile design dentistry revolution?
Get a Free Virtual Smile Consultation
One of the key innovations that sets our clinic apart is the use of Digital Dentistry, a revolution in how we design, plan, and deliver your Smile Makeover. Before your visit, we offer a free virtual consultation to plan your All on 4 dental implants in Mexico treatment safely and efficiently.
What You’ll Get (Completely Free)
- A custom smile design preview using your photo.
- A full pre-treatment plan, with transparent pricing and estimated timeframes.
- A one-on-one video consultation with the actual cosmetic dentist who will do your procedure.
- A complete digital file you can take home and share with family and friends.
What We Need From You?
To get started, simply send us:
- Two photos of your smile: One showing your full teeth clearly (smiling with teeth visible) One showing your natural, relaxed smile
- A short message telling us about your concerns or what you hope to change.
- Your contact info: Name, email, and phone number (you can fill this out directly in the form on this page).
We accept your PPO American Insurance
At our Tijuana Dentist, validating your insurance is quick and simple. If you’re unsure about your coverage for dental work in Mexico or how your available balance applies, our team can assist in verifying your benefits for a seamless experience.
Meet Your New dentists in tijuana Mexico
Book your consultation today for All on 4 Dental Implants in Mexico and enjoy safe, affordable care just minutes from San Diego.
Highly Skilled and Experienced Team
Our team of highly skilled and experienced dentists in Tijuana, along with our hygienists and support staff, is committed to delivering personalized, compassionate care. We take the time to understand your concerns, discuss tailored treatment options, and customize our services to meet your individual needs and goals.
All On 4 Dental Implants Near Me
Tijuana Dental Center by Smile 4 Ever Mexico is located at José Clemente Orozco 2340, Suite 105, Zona Urbana Rio Tijuana, 22010 Tijuana, B.C., just 7 minutes from the border.
Why Act Now?
Appointments fill quickly. Secure your free evaluation and lock in today’s rates.
Book your consultation today or call us at +1 (619) 906-7481.
FAQ’s About All on 4 Dental Implants in Mexico
Are All on 4 dental implants in Mexico safe?
Yes, they’re performed by certified implant specialists using top-quality materials like Straumann.
How much can I save with All on 4 dental implants in Mexico?
You can save up to 70% compared to U.S. prices while getting the same quality of care.
How much do All on 4 Dental Implants in Mexico cost?
At our clinic, All on 4 Dental Implants in Mexico start at $6,998 per arch. In the U.S., the same treatment can cost $25,000–$35,000. You can confirm average U.S. dental costs by state at Fair Health Consumer.
How Long Does It Take to Get Dental Implants in Mexico?
If you’re considering dental implants, one of the first questions that may come to mind is how long does it take to get dental implants in Mexico. Mexico has become a top destination for affordable, high-quality dental care, and the timeline for completing implant procedures here can be much faster than in the U.S. or Canada. For those seeking a complete smile transformation, Our dentists in Tijuana offers a streamlined process thanks to an in-house lab, high-end materials, and advanced techniques.
So, how long does it take to get dental implants in Mexico? At Smile 4 Ever Mexico, the process is designed to be as efficient as possible. For patients opting for the All-on-4 in 1 Visit, it’s possible to receive implants and leave with a full set of functioning teeth in as little as three days. With the support of an in-house lab, high-quality Straumann implants, and a dedicated team of professionals, we can provides fast, high-quality results without compromising on care.
Why Mexico is a Faster Option for Dental Implants?
Mexico has become a top choice for dental implants due to several key advantages that make the process faster and more efficient:
- Significant Cost Savings: The cost of dental work in Mexico is far lower than in the U.S., making it affordable for many patients. The All-on-4 in 1 Visit at Smile 4 Ever Mexico is priced at $6,998 per arch, allowing patients to restore their smiles at a fraction of U.S. prices.
- Proximity for U.S. Patients: For those traveling from the U.S., especially California, Tijuana is just across the border, making it easy to access. Patients can drive or fly to San Diego and take a quick trip to Tijuana, with many clinics even providing transportation from the airport. This close proximity means less travel time and less hassle for patients.
- Experienced Professionals and Modern Technology: Clinics in Tijuana, like our dental cinic in Mexico, are equipped with state-of-the-art technology and staffed by experienced professionals who specialize in treating international patients. Using modern tools, high-quality materials like Straumann implants, and an in-house lab for faster results, they are able to offer an efficient and smooth process for dental implants.
How do dental clinics in Tijuana support patients throughout the entire treatment process, including post-operative care and follow-up?
Dental clinics in Tijuana prioritize patient comfort and well-being throughout the entire treatment process. They provide detailed instructions for post-operative care and schedule regular follow-up appointments to monitor progress and address any concerns.
In addition to attentive patient support, clinics emphasize the importance of proper care to maximize the longevity of your dental implants. With consistent oral hygiene, routine dental check-ups, and healthy lifestyle choices, All-on-4 implants can last 10 years or more.
The titanium posts are designed to last a lifetime, though the prosthetic teeth may require adjustments after about 10 years due to normal wear and tear. Patients are encouraged to avoid biting hard objects or opening packages with their teeth to protect their new smiles.
By partnering closely with your dental team and following their guidance, you’ll not only enjoy a smooth recovery but also ensure your investment in a lasting, confident smile.
Can patients access testimonials or case studies specifically related to the all-on-4 dental implants Tijuana?
Patients can access testimonials and case studies from satisfied patients who have undergone the all-on-4 dental implants procedure at dental clinics in Tijuana. These firsthand accounts offer valuable insights into the treatment process and results.
What should patients look for when choosing a dentist in Mexico for implant surgery?
When selecting a dentist in Mexico for implant surgery, it’s essential to prioritize quality and patient safety above all. Here are a few factors to keep in mind during your search:
- Licensing and Credentials: Make sure your dentist is fully licensed to practice in Mexico and holds recognized certifications in implant dentistry.
- Experience with Implants: Look for clinics or dentists with substantial experience performing dental implant procedures. Don’t hesitate to ask about the number of implant surgeries performed and success rates.
- Patient Reviews and Testimonials: Check for independent reviews on sites like Google, and request to see before-and-after photos or case studies. First-person accounts can offer insights into the level of care and the final results.
- Clinic Standards and Technology: Top clinics in regions like Tijuana invest in state-of-the-art equipment, use high-quality implant brands (such as Straumann or Neo-Dent), and maintain strict sterilization protocols. Touring the clinic or viewing photos can give you a sense of their facilities.
- Communication and Comfort: Your dentist should make you feel comfortable, explain each step of the process in detail, and be responsive to questions—whether you’re planning remotely or arriving in person. Clear communication is crucial, especially for international patients.
By carefully evaluating these areas, you can choose a dental professional in Mexico who will help ensure your implant journey is successful, comfortable, and delivers lasting results.
Do dental clinics in Tijuana offer financing options or assistance with insurance claims for international patients interested in dental implants?
Dental clinics in Tijuana offer a variety of financing options and payment plans to help patients manage the cost of dental care. They collaborate with American financing agencies to provide further assistance and support insurance claims for international patients, ensuring financial peace of mind.
What Realistic Results Can Patients Expect with All-on-4® and All-on-6®?
Patients considering All-on-4® or All-on-6® dental implant solutions often want to know what kind of results to expect, not just right after the procedure, but for the long term. While both treatment options offer transformative improvements, having realistic expectations helps ensure a smooth journey and lasting satisfaction.
What to Expect After the Procedure:
- Immediate Function and Esthetics: Most patients leave the clinic with a full set of fixed, natural-looking teeth. You’ll be able to eat, speak, and smile confidently, often in just a few days.
- Initial Healing Time: Some minor discomfort, swelling, or sensitivity is typical in the days following surgery. Guided care instructions from your dental team will speed up healing and minimize complications.
- Adaptation Period: It can take a couple of weeks to adjust to your new bite and the feel of your implants. Eating softer foods and following your dentist’s dietary recommendations will help.
Long-Term Outcomes:
- Durable, Long-Lasting Results: When properly cared for, Straumann implants (or other leading implant brands) can last for decades, providing a stable and natural-feeling solution compared to traditional dentures.
- Easy Maintenance: Just like with natural teeth, regular brushing, flossing, and professional cleanings are essential to keep your implants healthy.
- Regular Follow-Up: Scheduled check-ups and periodic adjustments (as gums heal and settle) ensure the best fit and ongoing comfort.
Limitations to Consider:
- No Single Solution Fits All: Results depend on individual bone quality, overall health, and following post-op instructions closely.
- Aesthetic Nuances: While the esthetics are impressive, perfect symmetry or gum appearance can take time to achieve, and sometimes minor adjustments are necessary.
- Commitment to Aftercare: Maintaining your new smile means upholding good oral hygiene habits and adhering to follow-up visits, especially if you travel internationally for the procedure.
By keeping these expectations in mind, you’ll be set up for a successful outcome—one where your renewed smile not only looks great but feels comfortable and lasts for years to come.
What’s the Difference Between All-on-4® and All-on-6® Dental Implants?
If you’re exploring your options for a full smile restoration, you might be wondering about the difference between All-on-4® and All-on-6® dental implants. While both approaches offer a fixed, natural-looking set of teeth and use the trusted Straumann implant system, there are a few key distinctions to keep in mind:
Number of Implants:
- All-on-4® uses four dental implants per arch to support a full set of replacement teeth.
- All-on-6® uses six implants per arch, providing additional stability and distribution of force.
Who Might Prefer Each Option:
- All-on-4® is an excellent choice for most patients, especially those with some bone loss, thanks to the strategic placement of each implant for maximum support.
- All-on-6® may be best for those who have adequate bone density and want even more reinforcement, as the extra implants can provide enhanced durability, ideal for patients with higher chewing forces or those seeking the strongest long-term solution.
Treatment Process:
Both treatments typically allow you to leave with a full, functional arch of teeth in just a few days. Your restorative options might start with a durable acrylic bridge, with upgrades (such as nano-ceramic prostheses) available for those seeking premium aesthetics and longevity.
Choosing between All-on-4® and All-on-6® comes down to your unique anatomy, long-term goals, and your dentist’s personalized recommendations. We can discuss the pros, cons, and costs of each so you feel confident in your decision and your smile transformation.
Who Can Benefit from All on 4 Dental Implants?
All on 4 dental implants are a life-changing solution, but they’re not for everyone. Ideal candidates often:
- Are missing all or most teeth along the dental ridge
- Have enough jawbone density to support implants
- Enjoy good overall health and a strong immune system
- Maintain proper bite alignment
- Are committed to excellent oral hygiene
- Do not smoke or are willing to quit for better healing
If you see yourself in these points, you’re likely a great candidate for this transformative procedure.
With our personalized treatment strategy tailored only for you, all these concerns will be a thing of the past.